Atypical presentation of sepsis from community-acquired Staphylococcus aureus pneumonia in a previously healthy 47-year-old male: case report
Introduction
It is believed there have been no previous reported cases of community-acquired Staphylococcus aureus pneumonia that have presented without fever, cough, or grossly abnormal imaging studies. A systematic search of PubMed was performed by two independent reviewers using a combination of terms “Staphylococcus aureus”, “community-acquired pneumonia”, “pneumonia”, “empyema”, “MRSA”, “MSSA”, “clear chest radiograph”, “clear chest x-ray”, “chest radiograph findings” and the modifier without with the search terms “fever”, “infiltrate”. Reference lists of retrieved articles and review papers were also searched for relevant articles. Google searches were also utilized.
Searches failed to find any similar cases of community-acquired pneumonia (CAP) caused by Staph.aureus that did not present with fever, cough, or have a grossly abnormal chest X-ray or chest CT scan. Consideration of Staph.aureus pneumonia is important due to is high morbidity and mortality.
We present the following article in accordance with the CARE reporting checklist (available at http://dx.doi.org/10.21037/jeccm-21-1).
Case presentation
Permission to use patient data was granted by the facility where the patient was cared for given that no patient or institution identifiers were used. All procedures performed in studies involving human participants were in accordance with the ethical standards of the institutional and/or national research committee(s) and with the Helsinki Declaration (as revised in 2013). The patient was not involved in any studies or research protocols, so patient consent was not indicated.
The patient was a 47-year-old, non-smoking male with no significant past medical history. The patient presented to a free-standing emergency department complaining of right upper back pain that started the day before. Pain was increased with movement of his right upper extremity, lying down, and with deep inspirations. Vital signs were only significant for a respiratory rate of 20 breaths per minute. The patient felt he had injured himself running on his treadmill two days prior. The patient had palpable tenderness and spasm in the affected area. He was diagnosed with muscle strain and treated with naproxen and methocarbamol.
The patient returned three day later to the same facility complaining of increased pain and new onset shortness of breath that had started the day before. His sensation of dyspnea had increased over a few hours, prompting the patient to return to the emergency department. The patient now had a heart rate of 121 beats per minute and a respiratory rate of 46 breaths per minute. At both encounters he was afebrile, had mildly elevated blood pressures, and had oxygen saturation in the upper 90 percent range. The patient was able to take full breaths for pulmonary examination and was found to have clear lung fields bilaterally with symmetric, non-restricted air flow. He also reported feeling anxious.
Due to increased pain, sensation of dyspnea, and abnormal vital signs, if was felt work up was indicated to evaluate for possible pulmonary embolism, aortic dissection, acute cholecystitis, atypical pneumonia, as well as other etiologies of the patient’s symptoms. Given the limitations of the facility It was decided to forego a chest radiograph and proceed directly to a CT angiogram (CT-A) of the chest. The facility had CT capability, one radiology technician in-house, ultrasound available on call, and an i-STAT lab. Microscopic analysis of blood smears and urine was not available.
Laboratory values were significant for D-dimer of 10 times above the normal threshold, mild elevation of bilirubin and transaminases, a creatinine of 1.8 mg/dL creatinine-kinase MB over 4 times the normal threshold, negative troponin, INR of 2.9, and a white blood cell count of 2.7. Automated counts showed granulocytes of 91% (normal up to 80%) and lymphocytes 5.9% (15% normal lower end of range).
The CT-A chest was negative for pulmonary embolism to the proximal segmental level. Mild dilation of the distal thoracic aorta was seen without evidence for dissection. Also observed were small bilateral pleural effusions, numerous small bilateral pulmonary nodules, and bilateral perihilar, subcarinal, and right paratracheal fullness without discrete adenopathy. No infiltrates were observed.
The patent developed elevated blood pressure up 211/179. Respiratory distress continued to escalate and the patient was intubated A labetalol drip titrated to blood pressure control was ordered, and the process to transfer the patient to a full service hospital for admission to an intensive care unit was initiated.
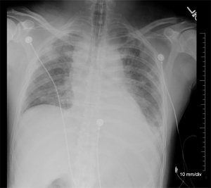
Chest X-ray after intubation confirmed proper tube placement with the endotracheal tub tip 5cm above the carina, and also showed central venous congestion with mild to moderate interstitial markings and a small left pleural effusion. Also noted were scattered ill-defined opacities of the right upper lobe. “CT examination for further evaluation if clinically indicated” was recommended (Figure 1). Scattered pulmonary nodules observed on CT-A of the thorax done previously were not noted on chest-X-ray.
The patient developed cardiac arrest approximately 1 hour after intubation. He was successfully revived, but arrested again en route to the intensive care unit and was pronounced dead upon arrival.
The death was reported to the local medical examiner’s office and jurisdiction was accepted. A full autopsy was performed and revealed heavy consolidated lungs with a white-tan visceral pleural exudate and turbid pleural effusions. Microscopic examination demonstrated severe acute necrotizing pneumonia. Postmortem bacterial culture of the right and left lungs yielded Staphylococcus aureus. A postmortem nasopharyngeal viral culture was negative. Apart from moderate coronary artery atherosclerosis, autopsy was otherwise unremarkable. Toxicology results were unrevealing. Cause of death was determined to be acute necrotizing Staphylococcus aureus bronchopneumonia.
It can be presumed the strain of Staph.aureus cultured from this patient was a PVL (Panto-Valentine leucocidin) secretor given the tissue necrosis observed at autopsy. The PVL toxin is reported in many cases of Staphylococcus aureus infection associated with tissue necrosis in both MRSA (Methicillin-resistant Staph. aureus) and MSSA (Methicillin-sensitive Staph. aureus) infections (1-3). Necrotizing pneumonia caused by PVL secreting strains of Staphylococcus aureus was found associated with leukopenia, rapid onset of acute respiratory distress syndrome, and resulted in 56% mortality independent of administration of appropriate antibiotics in a study of 50 patients by Gillet et al. (2). The PVL factor is a strong cytolytic molecule with a unique ability to create pores in the cell membranes of human neutrophils and induce the release of chemotactic factors. High concentrations of PVL have been shown to cause cell lysis within one hour in in vitro studies (3). Testing for MRSA subtype and PVL toxin was not performed for this patient.
Discussion
Staph.aureus is a rare cause of community acquired pneumonia (CAP) and frequently associated with influenza or influenza-like illness. The estimated incidence or CA- MRSA (community acquired-MRSA) pneumonia was 0.51 to 0.64 cases per 100,000 as reported by Vardakas et al. in 2009 (4). CA-MRSA pneumonia gained attention as a cause of 15 reported cases of pneumonia associated with influenza during the 2003–2004 influenza season (5). Few additional cases were reported to the CDC until 2007 with the CDC reporting only 10 additional cases in 2007 resulting in 6 deaths, once again associated with influenza infection (6). The incidence of CA-MRSA pneumonia is expected to increase given the COVID-19 pandemic and the increase in viral pneumonitis. Epidemiologic and clinical characteristics of the notorious 1918–1919 influenza pandemic are more consistent with high mortality due to bacterial superinfection than direct effects of the virus (7). Lung tissue samples obtained and preserved during the 1918–1919 pandemic also uniformly exhibited findings of severe bacterial pneumonia (8).
CA-MRSA pneumonia typically follows a severe course with 85% of patients that survive to admission requiring ICU care (4). Secondary Staph.aureus pulmonary coinfections often develop into severe, necrotizing pneumonia with rapid progression. Mortality is estimated to be 20% to 84% (1,2,4,9).
This case is believed to be the first reported case of community acquired Staph.aureus pneumonia presenting without cough or fever, and no infiltrates visible on CT-angiogram of the chest. Empyema from Staph.aureus has been reported without lung parenchyma involvement. However, these cases all have presented with fever, cough, chest pain, as well as grossly abnormal chest radiographs and CT scans (10). PubMed literature search failed to find any other similar cases presenting with back pain and shortness of breath, without fever or cough, with clear lung sounds on exam, and without infiltrates or large effusions visualized on chest CT or chest radiograph. Pneumonia is generally defined as an acute infection of the lung parenchyma by various pathogens, excluding bronchiolitis (11). Pneumonia is typically diagnosed by infiltrates visualized on X-rays or other imaging studies such as CT scans. This case describes a fatal case of sepsis from pneumonia that was not visible on imaging studies and was found at autopsy.
The patient highlighted in the above case deteriorated rapidly after presentation to the Emergency Department. Time of cardiac arrest was approximately 3 hours and 46 minutes after the first lab results were obtained, 2 hours after CT results, and approximately 1 1/2 hours after the patient began to develop increased respiratory distress. Given the rapid course and atypical presentation of the patient’s illness, it is likely he had developed sepsis and septic shock before he arrived at the emergency department. The patient did not present with an obvious infection or common symptoms of pneumonia at either visit to the Emergency Department. Chest imaging done on the second visit did not show typical findings of pneumonia. The scattered small pulmonary nodules observed on CT-A of the chest were more consistent with benign granulomas, metastatic disease, or a viral pneumonitis. Imaging studies were not indicated at the first emergency department visit and would not likely have changed management at that time if they had been done. The case demonstrates how rapidly a patient may deteriorate due to Staph.aureus sepsis. Given the rapid demise of this patient, it is questionable if appropriate antibiotics would have been life-saving.
Limitations
Subtyping for antibiotic resistance and PVL secretion was not performed by the medical examiner. The Medical Examiner was contacted after the autopsy results were obtained by the author. Unfortunately, no samples had been preserved for later testing. Given the tissue necrosis present at autopsy, the strain of Staph. aureus present in this case can be presumed to have been a PVL secretor. Since infection was not recognized, antibiotics were not administered. This case highlights the difficulty faced when a patient presents with an atypical presentation of a life-threatening illness.
The Surviving Sepsis Campaign convened with the goal of reducing the world-wide mortality from sepsis in 2003 (12). They have published guidelines with several revisions since that time. These guidelines were to “provide guidance for the clinician caring for the adult patients with sepsis or septic shock” (13). These guidelines apply if infection is suspected. The Surviving Sepsis guidelines promote a decision tool known as qSOFA to identify patients with sepsis based on three criteria: systolic blood pressure ≤100 mmHg, Tachypnea with respiratory rate ≥22 breaths per minute and altered mentation defined as Glasgow Coma Scale <15 (14). Each criterion is given one point if positive. Patients with suspected infection meet criteria for sepsis if their qSOFA score is two or greater. The patient highlighted in the case report had a qSOFA score of one and maintained that score until the time he was intubated. The case presentation shows the hazards of relying on decision tools such as qSOFA. Reliance of decision tools also increases the risk of overtreatment such as giving broad spectrum antibiotics to patients without infection or sepsis, exposing them to increased risks and costs with no possible benefits.
Conclusions
This case shows an atypical pneumonia from Staphylococcus aureus that did not form typical infiltrates or present with signs of infection such as cough or fever. The incidence of post-viral community acquired Staphylococcal pneumonia will likely increase due to the COVID-19 pandemic. Staph. aureus pneumonia should be considered in the differential diagnosis of patients presenting with unexplained pleuritic back or chest pain as early proper treatment is essential for patient survival. However, given the myriad of causes of pleuritic pain, risk of overtreatment must be weighed against possible benefits.
Acknowledgments
Funding: None.
Footnote
Reporting Checklist: The author has completed the CARE reporting checklist. Available at http://dx.doi.org/10.21037/jeccm-21-1
Conflicts of Interest: The author has completed the ICMJE uniform disclosure form (available at http://dx.doi.org/10.21037/jeccm-21-1). The author has no conflicts of interest to declare.
Ethical Statement: The author is accountable for all aspects of the work in ensuring that questions related to the accuracy or integrity of any part of the work are appropriately investigated and resolved. Permission to use patient data was granted by the facility where the patient was cared for given that no patient or institution identifiers were used. All procedures performed in studies involving human participants were in accordance with the ethical standards of the institutional and/or national research committee(s) and with the Helsinki Declaration (as revised in 2013). The patient was not enrolled in any research protocol or study. Therefore, consent under the Helsinki guidelines was not indicated.
Open Access Statement: This is an Open Access article distributed in accordance with the Creative Commons Attribution-NonCommercial-NoDerivs 4.0 International License (CC BY-NC-ND 4.0), which permits the non-commercial replication and distribution of the article with the strict proviso that no changes or edits are made and the original work is properly cited (including links to both the formal publication through the relevant DOI and the license). See: https://creativecommons.org/licenses/by-nc-nd/4.0/.
References
- David MZ, Daum RS. Community-associated methicillin-resistant Staphylococcus aureus: epidemiology and clinical consequences of an emerging epidemic. Clin Microbiol Rev 2010;23:616-87. [Crossref] [PubMed]
- Gillet Y, Vanhems P, Lina G, et al. Factors Predicting Mortality in Necrotizing Community-Acquired Pneumonia Caused by Staphylococcus aureus Containing Panton-Valentine Leukocidin. Clin Infect Dis 2007;45:315-21. [Crossref] [PubMed]
- Lina G, Piémont Y, Godail-Gamot F, et al. Involvement of Panton-Valentine leukocidin-producing Staphylococcus aureus in primary skin infections and pneumonia. Clin Infect Dis 1999;29:1128-32. [Crossref] [PubMed]
- Vardakas KZ, Matthaiou DK, Falagas ME. Incidence, characteristics and outcomes of patients with severe community acquired-MRSA pneumonia. Eur Respir J 2009;34:1148-58. [Crossref] [PubMed]
- Hageman JC, Uyeki TM, Francis JS, et al. Severe community-acquired pneumonia due to Staphylococcus aureus, 2003-04 influenza season. Emerg Infect Dis 2006;12:894-99. [Crossref] [PubMed]
- CDC. gov. Severe Methicillin-Resistant Staphylococcus aureus Community-Acquired Pneumonia Associated with Influenza --- Louisiana and Georgia, December 2006--January 2007. MMWR Weekly 2007;56:325-9.
- Brundage JF, Shanks GD. Deaths from bacterial pneumonia during 1918-19 influenza pandemic. Emerg Infect Dis 2008;14:1193-9. [Crossref] [PubMed]
- Morens DM, Taubenberger JK, Fauci AS. Predominant role of bacterial pneumonia as a cause of death in pandemic influenza: implications for pandemic influenza preparedness. J Infect Dis 2008;198:962-70. [Crossref] [PubMed]
- Johnston BL. Methicillin-resistant Staphylococcus aureus as a cause of community-acquired pneumonia--a critical review. Semin Respir Infect 1994;9:199-206. [PubMed]
- Beigh A, Malik J, Bachh A, et al. Community acquired methicillin resistant Staphylococcus aureus multiloculated empyema unmasking diabetes mellitus in a middle-age female: A rare case report. Ann Trop Med Public Health 2014;7:206-8. [Crossref]
- Mackenzie G. The definition and classification of pneumonia. Pneumonia 2016;8: [PubMed]
- Dellinger RP, Carlet JM, Masur H, et al. Surviving Sepsis Campaign guidelines for management of severe sepsis and septic shock. Crit Care Med 2004;32:858-73. [Crossref] [PubMed]
- Rhodes A, Evans LE, Alhazzani W, et al. Surviving Sepsis Campaign: International Guidelines for Management of Sepsis and Septic Shock: 2016. Intensive Care Med 2017;43:304-77. [Crossref] [PubMed]
- Seymour CW, Liu VX, Iwashyna TJ, et al. Assessment of Clinical Criteria for Sepsis: For the Third International Consensus Definitions for Sepsis and Septic Shock (Sepsis-3). JAMA 2016;315:762-74. [Crossref] [PubMed]
Cite this article as: Vraa EP. Atypical presentation of sepsis from community-acquired Staphylococcus aureus pneumonia in a previously healthy 47-year-old male: case report. J Emerg Crit Care Med 2021;5:38.

